点击右上角
微信好友
朋友圈

请使用浏览器分享功能进行分享


52岁的张阿姨从未想过,一场看似普通的“胃痛”竟将她的人生拖入深渊。三个月前,张阿姨感到上腹部间断性胀痛。起初总想着“忍忍就好”,可疼痛愈演愈烈,逐渐发展到吃不下饭、睡不着觉,短短几周体重骤降近20斤。看着镜中自己日渐消瘦、面色蜡黄,张阿姨终于意识到问题的严重性,于是在家人陪伴下前往医院就诊。
“疑似恶性”“多脏器受累”——诊断结果如一记重锤般砸在张阿姨一家人心上。辗转多家医院,得到的都是“病灶复杂,无法治疗”的答复。张阿姨的病情持续恶化,未知的预后让这个家庭陷入了困境。当得知肿瘤已广泛侵犯周边脏器时,家人甚至做了最坏的打算。

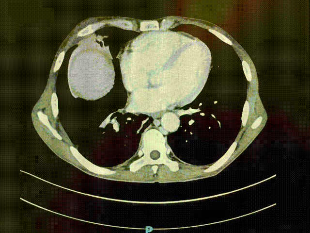
术前增强CT
一次偶然的机会,张阿姨一家了解到西京医院肝胆外科在腹部疑难复杂肿瘤救治领域经验丰富,一家人怀揣孤注一掷的信念前往就诊。入院当天,腹部增强CT结果显示:肝肾间隙藏着约15cm×15cm×18cm的巨大软组织肿块,被多重要害结构紧紧包裹——上方是膈肌及第二肝门,下方抵至右肾静脉平面,右侧紧贴腹壁及肾门,背侧压迫腹主动脉并越过中线,腹侧及左上则被肝脏、下腔静脉、门静脉、肝动脉及胆管禁锢在狭小空间内。
“这简直是‘狭缝拆弹’,一步都不能错!” 肝胆外科王琳主任在术前讨论中讲到,手术的难点集中在:一是空间极度受限,15cm的肿瘤几乎挤占腹腔关键操作区域,常规手术路径几乎失效,操作空间不足拳头大小;二是脏器与血管粘连风险极高,肿瘤长期侵犯导致与下腔静脉、肝血管、肾血管等重要结构粘连致密,就像胶水粘住的零件,分离时稍有不慎就可能引发致命大出血;三是脏器功能保留难题,既要完整切除肿瘤及受侵组织,又要最大限度保护肝、肾等重要脏器功能,一旦损伤,术后极可能出现器官衰竭。
“只要有一线希望,我们绝不放弃!” 家属红着眼眶,紧紧攥着医生的手。这份信赖,化作肝胆外科团队背水一战的决心。为制定最优手术方案,团队多次召开病例讨论会,结合影像资料反复推演:优先从瘤体足侧沿着被推挤“薄如蝉翼”的腔静脉主干向头侧推进;若瘤体与第一肝门及肝脏脏面粘连致密、毫无间隙可入,则从腹侧劈开肝脏,以 “翻书式” 操作打开肝脏后探究背后的门静脉及腔静脉主干——这意味着手术将额外增加肝部分切除的高难度操作,对术者的解剖把控和操作精度提出了毫米级的要求。

手术由肝胆外科于恒超副教授领衔实施,金亮医生等担任助手,一场与死神赛跑的“拆弹行动”拉开序幕。当手术切口缓缓打开,现场情况比术前规划更为严峻——肿瘤与下腔静脉、肝脏、肾血管的粘连程度远超预期,视野内遍布 “雷区”,狭小的操作空间内,每一次器械移动都需极致谨慎。更为棘手的是,张阿姨身高150cm、体重不足50kg,身体耐受大出血的能力极差,“一旦重要血管破裂,狭小空间内根本无法快速止血,患者可能下不了手术台。”于恒超副教授凭借多年临床经验临危决断:“先主动控制大血管,再切除肿瘤!”
手术团队立即响应,小心翼翼游离出被推挤致密的左右三角韧带,使肝脏及瘤体向足侧微小移动——这个动作如同在刀尖上跳舞,稍有偏差就可能碰破血管。最终,团队成功游离并悬吊起肝上-下腔静脉与肝下-下腔静脉,这一操作如同给 “炸弹” 的引线装上“保险”:一旦术中发生大出血,可立即收紧悬吊带快速止血,将致命风险牢牢掌控在手中。
切除后肿瘤
接下来的手术,成了考验耐力与精度的 “攻坚战”。手术团队屏住呼吸,在狭窄的视野里小心翼翼地分离、结扎,逐一离断供应肿瘤的血管和致密的粘连组织。每一个动作都精准到毫米,每一次结扎都力求稳妥,手术过程如履薄冰,手术室里只有器械轻微的碰撞声和医护人员的呼吸声。
术后复查CT
历经4小时35分钟鏖战,手术终获成功:重达五斤的肿瘤连同受侵的右肾被原位整块完整切除,下腔静脉、门静脉、肝动脉等所有重要血管及周边脏器均完好无损,在彻底清除病灶的同时,实现脏器功能的最大化保留。术后,在医护人员精心照料下,张阿姨恢复迅速,一周便顺利出院。术后1月复查显示,身体状况良好,各项指标均在正常范围内。医院组织肿瘤内科、放疗科、病理科等多学科专家进行MDT会诊,为其制定详尽的术后辅助治疗方案。
从绝境重生到重获新生,这场跨越艰难险阻的手术,既彰显了西京医院肝胆外科团队攻克复杂疑难腹膜后肿瘤的精湛技艺,更深情诠释了医者 “敢于挑战、勇于担当” 的赤诚初心。正是这份专业与坚守,护佑着患者健康,也守护着每一个家庭的团圆与安康。
作者 | 金 亮
编辑 | 王欣睿
编审 | 任伟锋 双 乐
监制 | 王志君
主办 | 西京医院政治工作处
